Дисплазія шийки матки

Дисплазія шийки матки — це стан, який викликає у жінок найбільше хвилювань, адже він безпосередньо асоціюється з ризиком розвитку раку шийки матки. І хоча саме слово «дисплазія» звучить лякаюче, важливо розуміти: це ще не онкологія. Це передраковий стан, який за умови своєчасної діагностики та правильного лікування можна повністю усунути, відновивши нормальну структуру клітин шийки матки. Більше того, на ранніх стадіях дисплазія може проходити безслідно. Тому головне — не ігнорувати профілактичні огляди й звертатися до лікаря при будь-яких підозрілих симптомах.

Що таке дисплазія шийки матки?

Дисплазія шийки матки — це порушення нормальної структури клітин, які вистилають поверхню шийки матки. У нормі клітини мають правильну форму, однаковий розмір та певний порядок розташування. При дисплазії вони змінюють свою будову, стають більшими, набувають атипових рис і можуть ділитися швидше, ніж потрібно.

Простими словами, дисплазія — це «попереджувальний дзвіночок» від організму. Це ще не рак, але сигнал, що в епітелії шийки матки відбуваються зміни, які за несприятливих умов можуть призвести до онкологічного процесу.

Ступені дисплазії
Розрізняють три ступені дисплазії
Легка (CIN I)

Зміни охоплюють лише поверхневий шар клітин. Часто регресує самостійно, особливо у молодих жінок.

Середня (CIN II)

Патологічні клітини проникають у середні шари епітелію.

Важка (CIN III)

Ураження майже всієї товщини епітелію. Вважається передраковим станом, що вимагає обов’язкового лікування.

Причини та фактори ризику

Найпоширенішою причиною дисплазії є інфекція вірусу папіломи людини (ВПЛ). Доведено, що саме високонкогенні типи цього вірусу здатні викликати зміни клітин шийки матки. ВПЛ передається статевим шляхом, і більшість жінок хоча б раз у житті контактували з ним. Проте далеко не у всіх розвивається дисплазія — багато залежить від стану імунної системи.

Фактори ризику:

  • Ранній початок статевого життя та велика кількість статевих партнерів.
  • Куріння (нікотин послаблює місцевий імунітет слизових оболонок).
  • Хронічні інфекції статевих шляхів (хламідіоз, герпес, уреаплазмоз тощо).
  • Тривале використання гормональних контрацептивів без контролю лікаря.
  • Ослаблений імунітет (після пологів, тяжких захворювань, стресів).
  • Спадковість (у жінок, чиї матері або сестри мали дисплазію чи рак шийки матки).

Думка експерта

Завідувачка відділення гінекології лікарні ім. Мечникова, к.м.н. Наталія Володимирівна Єнотова, зазначає: «Дисплазія шийки матки — це унікальний випадок у медицині, коли ми можемо буквально зупинити розвиток хвороби ще до того, як вона стане онкологією. Іноді жінка не відчуває жодних симптомів, живе звичайним життям, а під час рутинного мазка ми вже бачимо серйозні клітинні зміни. Саме тому так важливі профілактичні огляди — вони дають шанс виявити патологію у момент, коли лікування є максимально щадним. З практики я бачу: жінки, які приходять вчасно, уникають складних операцій і мають усі шанси стати мамами. А от ті, хто відкладає візит «на потім», часто стикаються вже з тяжкими формами, де йдеться не лише про здоров’я, а й про життя. Сучасна медицина дає нам інструменти — від цитології до лазерної хірургії, але скористатися ними можна тільки тоді, коли жінка сама робить перший крок і приходить на огляд».

Симптоми дисплазії шийки матки

Особливість дисплазії у тому, що найчастіше вона протікає безсимптомно. Жінка може почуватися абсолютно здоровою і дізнатися про діагноз лише після профілактичного огляду.

У деяких випадках можуть з’являтися такі ознаки:

  • Незвичні виділення (кров’янисті після статевого акту, водянисті або з неприємним запахом).
  • Дискомфорт чи біль під час статевого акту.
  • Кровомазання між менструаціями.
  • Відчуття тиску чи болю внизу живота (рідко).

Проте ці симптоми неспецифічні й можуть бути проявом інших захворювань. Саме тому регулярні профілактичні огляди та мазки на цитологію є ключем до раннього виявлення дисплазії.

Діагностика

У лікарні ім. Мечникова для діагностики дисплазії застосовуються сучасні методи, що дозволяють виявити зміни навіть на початковому рівні:

  1. Цитологічне дослідження (ПАП-тест) — мазок із шийки матки, що дає можливість оцінити стан клітин.
  2. Кольпоскопія — огляд шийки матки під збільшенням за допомогою спеціального приладу. Лікар бачить найменші зміни слизової.
  3. Біопсія — взяття невеликого шматочка тканини для детального аналізу під мікроскопом. Це «золотий стандарт» підтвердження діагнозу.
  4. ВПЛ-тест — визначає наявність та тип вірусу папіломи людини.

Пацієнтка під час діагностики відчуває лише легкий дискомфорт, а всі процедури проводяться максимально щадно. Важливо, що у лікарні ім. Мечникова дослідження виконуються на сучасному обладнанні, яке забезпечує високу точність результатів.

Лікування дисплазії шийки матки

Тактика лікування залежить від ступеня дисплазії, віку пацієнтки, її планів щодо майбутньої вагітності та супутніх захворювань.

Легка дисплазія (CIN I): зазвичай рекомендується спостереження, контрольні мазки та кольпоскопія кожні 6–12 місяців. Часто у молодих жінок ця форма проходить сама завдяки роботі імунної системи.

Середня та важка дисплазія (CIN II–III): потребують активного лікування.

Методи лікування у лікарні ім. Мечникова:

  • Кріодеструкція — припікання патологічних клітин рідким азотом. Безболісна процедура, підходить для невеликих уражень.
  • Лазерна терапія — точкове видалення змінених тканин лазером, що не залишає рубців.
  • Радіохвильова хірургія (апарат «Сургитрон») — сучасний метод, який дозволяє максимально зберегти здорові тканини.
  • Конусоподібна резекція шийки матки — видалення частини шийки при важкій дисплазії. Виконується під анестезією, застосовується при високому ризику переходу у рак.

Після лікування пацієнтка залишається під наглядом лікарів: регулярні огляди та контрольні аналізи гарантують повне відновлення.

Переваги лікування у лікарні ім. Мечникова

Лікування дисплазії шийки матки у лікарні ім. Мечникова має ряд важливих переваг, які відчуває кожна пацієнтка. Передусім — це команда досвідчених фахівців. Тут працюють гінекологи, які багато років займаються лікуванням передракових станів та онкопатологій, тому жінка може бути впевнена: її здоров’я у надійних руках.

Не менш важливим є сучасне обладнання. Усі діагностичні та лікувальні процедури проводяться за допомогою високоточних приладів, що дозволяє виявити навіть найменші зміни та застосувати максимально щадні методи терапії. Це означає, що втручання будуть мінімально травматичними, а відновлення — швидким.

Кожна пацієнтка отримує індивідуальний підхід. Лікарі обов’язково враховують її вік, загальний стан здоров’я, наявність супутніх захворювань та навіть плани на майбутню вагітність. Завдяки цьому лікування стає не лише ефективним, а й максимально безпечним для репродуктивної функції.

Важливим є й комфорт. У лікарні доступні палати на одну або дві особи, а також підвищеного рівня — «Люкс». Пацієнтка може отримати консультацію професора чи завідувача відділення, що додає впевненості у правильності вибору.

І, нарешті, кожна жінка відчуває постійну підтримку. Від першого огляду і до завершення реабілітації вона перебуває під контролем команди лікарів. Це означає, що жодне питання не залишиться без відповіді, а будь-які зміни в стані здоров’я будуть вчасно відстежені.

 Приклад із практики
Завідувач центру оперативної та консервативної гінекології

Пацієнтка, 32 роки, звернулася із скаргами на контактні кров’янисті виділення після статевого акту. На профілактичний огляд не приходила більше трьох років. При цитологічному дослідженні виявлено підозру на дисплазію.

Було проведено кольпоскопію та біопсію. Результат — дисплазія шийки матки II ступеня (CIN II). Лікарі запропонували провести лікування методом радіохвильової хірургії. Процедура тривала близько 20 хвилин, виконувалася під місцевим знеболенням, пацієнтка вже за кілька годин після маніпуляції повернулася додому.

Через півроку контрольний ПАП-тест та кольпоскопія не виявили жодних патологічних клітин. Пацієнтка відзначала, що тривожні симптоми повністю зникли, а через рік після лікування вона змогла завагітніти та успішно народити здорову дитину.

Цей випадок ще раз доводить: своєчасна діагностика та сучасні методи лікування дозволяють не лише вилікувати дисплазію, а й зберегти репродуктивне здоров’я.

Рекомендації після лікування

Після лікування дисплазії жінці важливо дотримуватися рекомендацій лікаря:

  • Уникати статевих контактів протягом 4–6 тижнів після процедури, щоб слизова відновилася.
  • Не використовувати тампони та не робити спринцювання.
  • Уникати фізичних перевантажень та підйому важкого.
  • Проходити контрольні огляди кожні 6–12 місяців.
  • Дбати про імунітет: повноцінне харчування, сон, відмова від куріння.

Чому це важливо? Якщо ігнорувати рекомендації, є ризик повторного розвитку дисплазії. Навпаки, регулярні огляди дозволяють бути впевненою у власному здоров’ї та вчасно виявити будь-які зміни.

Тож, дисплазія шийки матки — не вирок, а попередження. Це стан, який можна повністю вилікувати, якщо не зволікати з діагностикою та лікуванням. У лікарні ім. Мечникова пацієнтки отримують сучасний підхід, новітнє обладнання та підтримку досвідчених лікарів. Не відкладайте турботу про своє здоров’я — зверніться до гінеколога вже сьогодні!

FAQ
  • Як виявити дисплазію шийки матки?

    Дисплазія шийки матки не дає специфічних симптомів, тому виявити її можна лише під час гінекологічного огляду та спеціальних обстежень. Лікар звертає увагу на зміни на поверхні шийки під час огляду у дзеркалах, але для підтвердження потрібні додаткові методи. Найчастіше першим кроком є цитологічний мазок (ПАП-тест),який показує наявність атипових клітин. Якщо результат підозрілий, призначають кольпоскопію — огляд шийки матки під збільшенням зі спеціальною обробкою, що допомагає побачити навіть невеликі ділянки ураження. Для остаточного підтвердження беруть біопсію — зразок тканини, який досліджується під мікроскопом. Саме поєднання цих методів дозволяє виявити дисплазію на ранньому етапі, ще до того, як вона перейде у більш небезпечний стан.

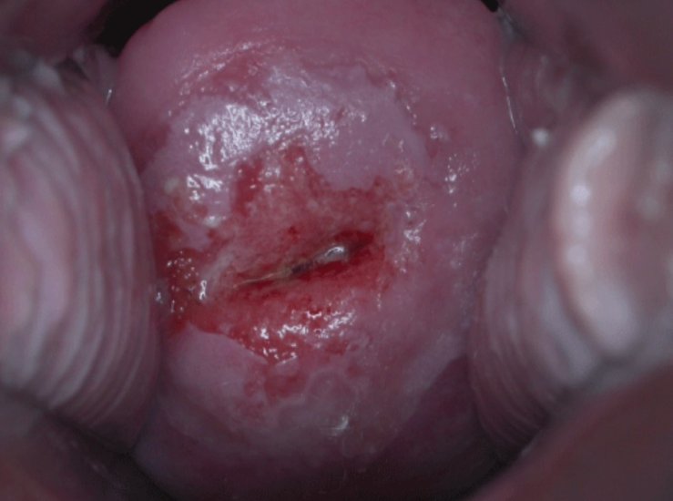
  • Як виглядає дисплазія шийки матки?

    Під час огляду у дзеркалах шийка матки може виглядати зовні майже нормально або мати невеликі ділянки почервоніння, плями з нечіткими межами, які не завжди можна відрізнити від запалення. Лише при кольпоскопії під збільшенням ці зміни стають помітнішими — вони можуть виглядати як білі плями після обробки спеціальним розчином чи ділянки з нерівною поверхнею та зміненою судинною сіткою. Остаточно підтвердити наявність дисплазії здатне лише цитологічне чи гістологічне дослідження клітин, бо візуально вона не має чітких ознак.

  • Як лікується дисплазія шийки матки?

    Лікування дисплазії шийки матки залежить від її ступеня, віку жінки та планів щодо вагітності. Легкі зміни (CIN I) часто контролюють без радикального втручання — лікар призначає протизапальну терапію, лікування інфекцій та регулярний цитологічний контроль, адже у багатьох випадках такі осередки зникають самі. При більш виражених стадіях (CIN II–III) потрібне видалення ураженої ділянки, щоб не допустити переходу в рак. Для цього використовують сучасні малотравматичні методи: лазерну або радіохвильову коагуляцію, кріодеструкцію (вплив холодом),електроконізацію або хірургічне висічення. Усі ці втручання дозволяють зберегти матку та репродуктивну функцію.

  • Дисплазія шийки матки - це ерозія?

    Ні, дисплазія шийки матки та ерозія — це різні стани. Ерозія означає поверхневе ушкодження слизової оболонки шийки матки, яке часто має запальний або травматичний характер і зазвичай добре лікується. Дисплазія ж — це зміна структури клітин епітелію, коли вони починають ділитися неправильно, втрачають нормальну форму й функцію. Це вже передраковий процес, який може прогресувати, якщо його не лікувати. Тому ерозія вважається доброякісним станом, а дисплазія потребує більш уважного нагляду і своєчасного лікування, аби запобігти розвитку онкології.

  • Скільки часу лікується дисплазія шийки матки?

    Тривалість лікування дисплазії шийки матки залежить від ступеня ураження та обраного методу. Легкі форми після усунення інфекцій та корекції запальних процесів можуть зникнути за кілька місяців під контролем цитології. Якщо проводиться хірургічне втручання — лазер, радіохвилі, кріоабо електроконізація — сама процедура займає від кількох хвилин до півгодини, а повне загоєння шийки матки триває 4–8 тижнів. Після цього потрібні повторні огляди та аналізи, адже важливо підтвердити, що патологічні клітини більше не з’являються. Таким чином, процес від діагностики до повного відновлення може зайняти від кількох місяців до півроку, залежно від ситуації.

Автор:
ЄНОТОВА Наталія Володимирівна
Завідувач центру оперативної та консервативної гінекології